Very happy to have found this wonderful Dentist quite local, professional, experienced caring staff with all the latest, up to date procedures can't recommended highly enough.
A crown is a type of dental restoration used to fix teeth that have been broken, weakened by decay or have a very large filling. The crown fits over the remaining part of a prepared tooth, making it strong and giving it the shape of a natural tooth. It will also be tooth coloured, giving the restoration a more natural appearance so it fits in with the rest of your teeth.
A crown could be a good solution for you if you have some discoloured fillings and would like to improve their appearance. Crowns can be used to replace these to give you a more aesthetic smile. Also, if you have had root canal treatment you will need a crown to protect or cap the restored tooth, allowing you to eat and bite down on it as if it was a real tooth. Crowns are also used to anchor a bridge or denture firmly in place in the mouth.
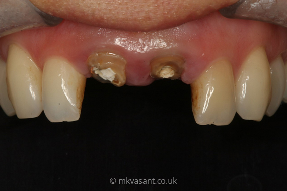
Restoration of two broken-down upper front teeth using post and cores, and crowns.
The lifespan of dental crowns largely depends on the type of crown you have and how well you take care of it. Generally, dental crowns can last anywhere from 5 to 15 years, but some can last even longer with proper care and maintenance.
Permanent crowns, made from materials like metal, porcelain fused to metal, or ceramic, are known to be the most durable and long-lasting. They can withstand normal wear and tear from daily use and can last for many years if properly cared for. On the other hand, temporary crowns are designed to be used for short-term use only and are not intended for long-term wear.
Proper care and maintenance also play a crucial role in the longevity of dental crowns. Good oral hygiene practices such as brushing and flossing regularly not only help to keep your natural teeth healthy but also the crown itself. It's important to avoid certain hard, sticky or chewy foods that could damage the crown or cause it to come loose. Regular dental check-ups are also important to ensure that your crown is still in good shape and functioning as it should.
With proper care, your dental crown can remain in good condition and help to maintain a healthy, natural-looking smile for many years.
Once you've received your dental crown, it's important to take good care of it to ensure it lasts as long as possible. Crowns can be made from a variety of materials, including metal, porcelain fused to metal, and ceramics, and each one requires slightly different care. Here are some general tips to help take care of your dental crown:
- Practice good oral hygiene: Just like with your natural teeth, it's important to brush your crown twice a day and floss at least once a day. This helps to remove any plaque buildup that can lead to decay around the crown.
- Avoid hard or sticky foods: While your dental crown is strong, it's important to avoid biting down on hard objects like ice or opening packages with your teeth. Sticky or chewy foods like caramel and taffy can also cause damage or dislodge the crown.
- Visit your dentist regularly: Regular dental check-ups allow your dentist to monitor the health of your crown and make any necessary adjustments. Your dentist can also clean the crown to remove any plaque or tartar buildup.
- Consider a nightguard: If you grind your teeth at night, a nightguard can help protect your crown from damage.
- Watch for signs of trouble: If you experience sensitivity, pain, or swelling around your crown, it's important to see your dentist. These can be signs of a problem with the tooth underneath the crown.
By following these tips and taking good care of your dental crown, you can help ensure it lasts for many years to come. Remember to speak with our dentist if you have any concerns or questions about caring for your crown or if you notice any changes in your oral health.
One of the most common questions people have about getting a dental crown is whether or not it will be painful. The short answer is that the procedure itself is not usually painful thanks to the use of local anaesthetic. However, some people may experience discomfort or sensitivity after the procedure.
During the dental crown procedure, your dentist will use a local anaesthetic to numb the area around the tooth. This means that you shouldn't feel any pain while the dentist is preparing the tooth and fitting the crown. In some cases, your dentist may also offer sedation options if you feel anxious or nervous about the procedure.
After the procedure, it's normal to experience some sensitivity in the tooth for a few days. This can be managed with over-the-counter pain medication like ibuprofen. Some people may also experience a little discomfort in their jaw as they adjust to the new shape of their tooth.
It's important to note that in rare cases, dental crown placement can result in complications like nerve damage or an allergic reaction to the materials used in the crown. However, these complications are very rare and your dentist will take steps to minimise the risk.
If you're concerned about whether or not getting a dental crown will be painful, our dentist can explain the procedure in more detail and answer any questions you may have. We can also work with you to manage any discomfort or sensitivity after the procedure.
